ニュースリリース
⾼画質を追求した経腟⽤超⾳波診断装置の新機種
「SONOVISTA LX」を発売
産婦⼈科での的確な診断と患者さんの負担軽減に貢献
2024年10月29日
コニカミノルタ株式会社(本社:東京都千代田区、社長:大幸 利充、以下 コニカミノルタ)は、経腟用超音波診断装置「SONOVISTA(ソノビスタ) LX」を11月1日(金)に発売予定です。
「SONOVISTA LX」は、コニカミノルタが2019年に発売した「SONOVISTA GX30」に続く、経膣用超音波診断装置です。エレガントでスタイリッシュなデザインを有し、省スペース設計と優れた操作性を継承しつつ、新技術の搭載によりさらなる高画質化を実現しました。診断の精度向上を支援するとともに、広視野角による効率的な検査で患者さんの負担軽減に貢献します。
経腟用超音波診断装置は、産科や婦人科検診における胎児検査、不妊検査などに利用されますが、「SONOVISTA LX」は経腹用プローブ、乳腺用プローブにも対応しており※1、全妊娠期間を通じた胎児検査や、乳がん検査など幅広い検査に対応します。
コニカミノルタは、ヘルスケア事業を通じてマテリアリティ(重要課題)の一つに掲げる「健康で質の高い生活の実現」に取り組んでいます。「SONOVISTA LX」の拡販により、女性と子どもの健康と安心に貢献します。

【 「SONOVISTA LX」が提供する価値 】
1.高画質化と広視野角で的確な診断を支援
「SONOVISTA LX」には、コニカミノルタ独自の高画質化技術「Dual Sonic」を進化させた新技術「Dual Sonic Advance」を搭載しています。
「Dual Sonic」とは、送信開口を中心部と辺縁部に2分割し、中心部は生体内の浅部と深部の双方に有効な広帯域送信波、辺縁部は深部に有効な低周波送信波を形成し、最適な超音波ビームを制御することで浅部から深部まで全体に渡ってノイズの少ない超音波画像を得ることができるようにする技術で、2021年に日本超音波医学会の第21回技術賞を受賞しました。「Dual Sonic Advance」は、「Dual Sonic」の2分割送信を多分割送信に進化させ、さらに精密に超音波ビームを制御することで、より均一性が高く、高精細な画像描出を可能にしています。この新技術により、子宮や胎児を高画質で明瞭に描出し、診断や検査の精度向上を支援します。
また、従来から広視野角として高い評価を得ている経腟プローブの視野角220度表示を継承しており、広範囲を一度に確認できるため効率的な診断・検査が可能で、患者さんの負担軽減に貢献します。


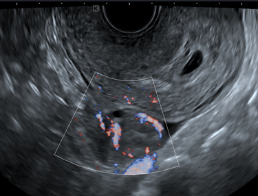
2.血流を検出するシンプルクリアフロー機能の向上で迅速・正確な診断をサポート
Bモード画像※2だけでなく、血流を色付けして表示するカラーフローモードにおいても、送信回路を新たに設計し、送信効率を高めながら送信ビーム形状を最適化することで高精細化を実現しています。血流を高分解能で感度良く描出するシンプルクリアフロー機能は、送受信する信号の時間的なずれや揺らぎを従来よりも抑制してカラー画像におけるノイズを低減し、血流検出性能を向上させたことによって、微細な血流も鮮明に表示します。

3.省スペース設計と優れた操作性で検査効率向上に貢献
コニカミノルタの超音波診断装置に共通したコンセプトである「ユーザーのワークフローに合ったインターフェース設計」に基づき、現場の声を取り入れて、検査効率向上のための使いやすさを追求しています。
装置の奥行を従来と同じ長さに抑えた省スペース設計を継承しており、狭いスペースでも利用可能です。また、従来は最大120mmだったコントロールパネル部の上下昇降幅を最大250 mmに拡大し、立位、座位を問わずより適切な高さに調整できる設計にしました。
モニターは従来の15インチスタンダード型から18.5インチFull HDワイド型に変更し、最大表示サイズを従来比136%に拡大しました。また、拡大した表示エリアには使い勝手を考慮した操作ボタンを配置し、表示されるテキストには視認性に優れたフォントを採用するなど、使いやすさをより一層向上させています。
コントロールパネルのボタン配置は、使い慣れたユーザーの効率を考えて従来製品からの大きな変更は避け、操作ステップの簡略化が可能なボタンを追加して快適な操作性を実現しています。

【 経腟用超音波診断装置「SONOVISTA LX」の主な仕様 】
| LCDモニター | 18.5インチFull HDモニター(タッチパネル) |
|---|---|
| 電源 | AC 100V-240V、50/60Hz、max. 5.5 A |
| サイズ | W 457 x D 495 x H 1,239~1,489 mm |
| 質量 | 50 kg (電源コード除く) |
| コントロールパネル | スイベル回転 左 90 度・右 90 度、上下移動 250 mm |
| 走査モード | Bモード、Mモード、パルスドプラ、カラードプラ |
【 標準小売価格 】
36,000,000 円 (税別)
本体のみ。各種プローブ、オプションは別料金となります。
【 お客様のお問い合わせ先 】
コニカミノルタジャパン株式会社 ヘルスケアカンパニー
https://konicaminolta.jp/healthcare/
※1 プローブは本体とは別売りです。
※2 Bモード画像:明暗で反射波の強さを表示する一般的な超音波画像
「SONOVISTA」「Dual Sonic」はコニカミノルタ株式会社の登録商標です。
「SONOVISTA LX」は超音波診断装置 KUS330(認証番号:第306ABBZX00014000号)の呼称です。
「SONOVISTA GX30」は超音波診断装置 SONOVISTA GX30(認証番号 第231ABBZX00001000号)の呼称です。
ニュースリリースに記載されている内容は、報道発表日現在の情報です。お客様がご覧いただいた時点で、情報が変更(生産・販売が終了している場合や、価格、仕様など)されている可能性がありますのであらかじめご了承下さい。