ニュースリリース

画像診断ワークステーション「CS-7」の新機能として
STAT画像所見報告支援機能「STAT Link」の提供を開始
AIによる気胸検出とワークフロー支援機能による新たな業務効率化ソリューション

2026年4月13日

コニカミノルタ株式会社(本社:東京都千代田区、社長:大幸 利充、以下 コニカミノルタ)は、画像診断ワークステーション「CS-7」の新機能として、STAT画像(生命予後にかかわる緊急性の高い疾患の所見がある画像)の所見報告支援機能「STAT Link(スタットリンク)」の提供を2026年4月から順次開始します。「STAT Link」は、気胸の診断支援を行うプログラム「CXR Finding-i 気胸検出タイプ」との連携機能を備え、診断効率化に貢献するとともにガイドライン※1に定められた気胸の所見報告の支援および報告内容の記録機能により業務効率化も支援します。
2026年4月17日からパシフィコ横浜で開催される国際的な医療関連の展示会「2026国際医用画像総合展(ITEM2026)」において「STAT Link」を初出展します。

【開発の背景】

医用画像の所見に基づく診断は医師が行います。一方で、医師の働き方改革の進展に伴い、STAT画像の所見を診療放射線技師が速やかに医師に伝えることの重要性が高まっていることから、現在では診療放射線技師が発見した場合に報告すべきSTAT画像所見がガイドラインに定められています。

【「STAT Link」が提供する価値】

「STAT Link」は、気胸検出機能、所見報告・記録機能、「RADInsight(ラドインサイト)」との連携機能により、STAT画像所見報告のワークフローを包括的に支援します。

■気胸検出機能(「CXR Finding-i 気胸検出タイプ」との連携)

気胸の診断支援を行うプログラム「CXR Finding-i 気胸検出タイプ」と連携することで、ガイドラインにおいて一般撮影で診療放射線技師が発見した場合に報告すべきSTAT画像所見の一つに挙げられている気胸の候補を高精度で検出することができます。

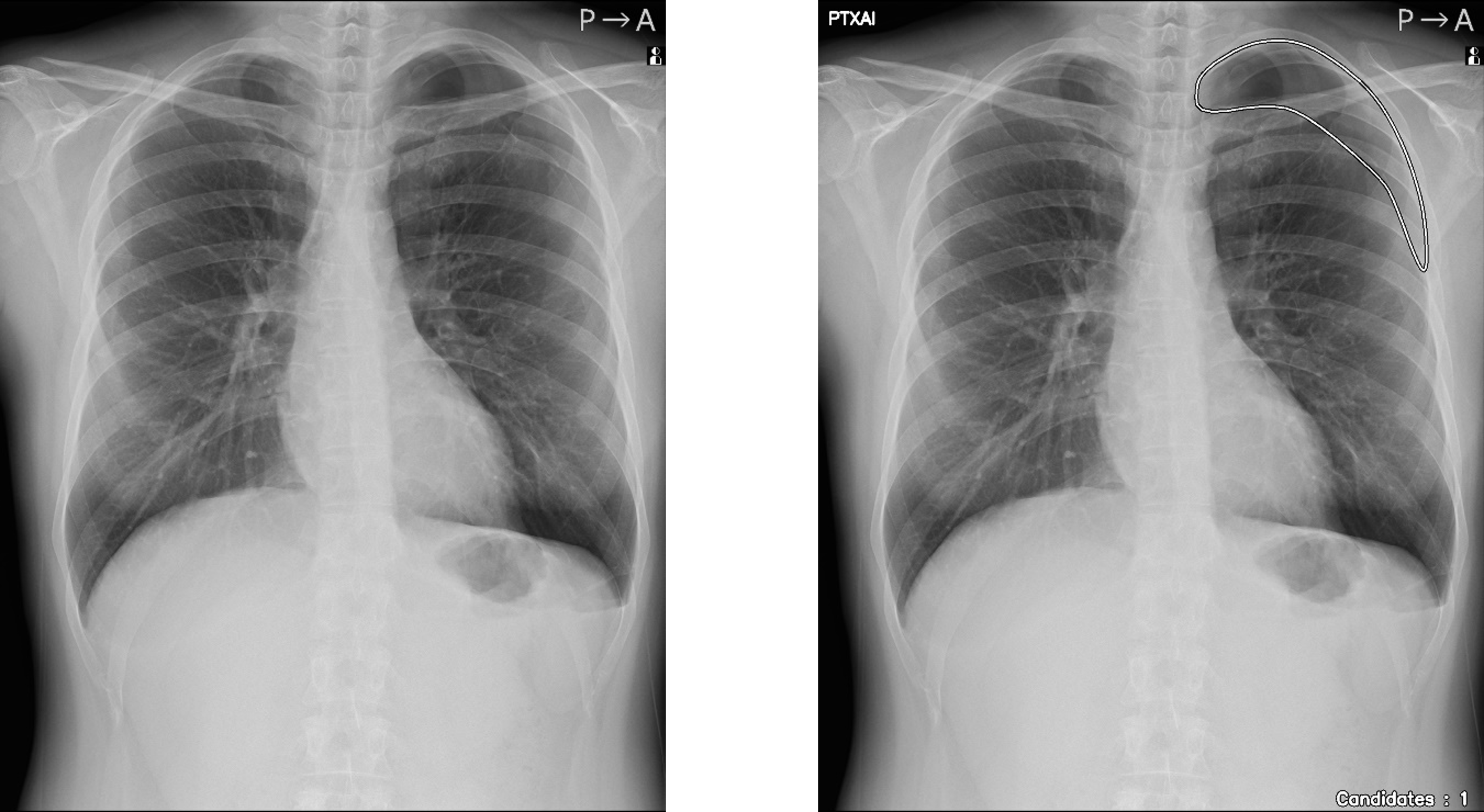
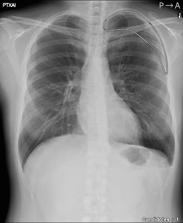
コンピューターのスクリーンショット
「CXR Finding-i 気胸検出タイプ」により解析された気胸の検出領域を表示

■簡便な所見報告記録機能

ユーザー設定可能なテンプレートを活用した簡便な所見報告の記録機能を備え、診療放射線技師による迅速かつ正確な所見報告を支援し、報告業務の効率化と信頼性向上に貢献します。

グラフィカル ユーザー インターフェイス
STAT画像所見報告の記録画面

■RADInsightとの連携機能

一般撮影業務の最適化をサポートするシステム「RADInsight」との連携によりSTAT画像および報告データを蓄積し、診療放射線技師のスキル向上に役立てることで、医療現場での教育にも活用が期待できます。

グラフィカル ユーザー インターフェイス
「RADInsight」にデータを蓄積

■「CXR Finding-i 気胸検出タイプ」について

気胸とは、何らかの原因で肺に穴が開き、肺がしぼんでしまう状態を指します。胸の痛み、咳、息切れや呼吸困難などの症状を伴うことがあり、緊張性気胸に進展した場合には生命に危険が及ぶ可能性があります。そのため、早期発見・診断が重要ですが、胸部単純X線画像撮影の主目的が気胸の確認ではない場合は見落とされるリスクが高い所見でもあります。
「CXR Finding-i 気胸検出タイプ」は、胸部単純X線画像をAI※2で解析することで重要所見である気胸の候補を迅速に検出し、候補領域を画像上に表示することで見落とし防止を支援します。病変検出性能を示す指標である感度※3は95%と高い水準を実現していることに加え、気胸が存在しない画像をAIが正しく陰性(気胸なし)と判断した割合を示す特異度※4は96%であり、病変を見逃さないようにしつつ偽陽性も抑制した高精度の検出性能が特長です。
「CXR Finding-i 気胸検出タイプ」は、画像処理ゲートウェイ「Senciafinder(センシアファインダー)」や「friejoin(フリージョイン)」にもインストールが可能であるため、既に搭載している「CXR Finding-i」との併用が可能です※5。コニカミノルタは、結節影、腫瘤影や浸潤影を検出する胸部X線画像診断ソフトウェア「CXR Finding-i」を2021年11月に発売し、既に国内で約1,200の医療機関で導入されています(2026年3月末時点)。今回の気胸検出タイプの追加により、診断支援の範囲をさらに拡大します。

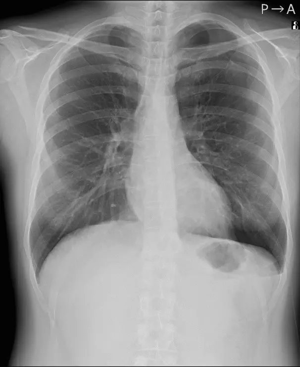
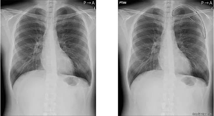
人のレントゲン写真 オリジナル画像
オリジナル画像
人のレントゲン写真 気胸の検出領域を表示
気胸の検出領域を表示

コニカミノルタはAI技術ブランド「FORXAI」のもと、画像を活用したAI技術で医療現場の「みたい」に応え、簡便かつ高度で持続的な医療の実現に貢献します。

STAT Linkeのイメージ図

【「CXR Finding-i 気胸検出タイプ」の読影試験性能】

気胸が存在すると診断された異常例87症例、対照例213症例の胸部単純X線画像を対象に行った読影試験に対する本製品の単体性能は以下の通りです。

検出可能病変 気胸
感度 95%
特異度 96%

【お客様のお問い合わせ先】

コニカミノルタジャパン株式会社 ヘルスケアカンパニー
https://konicaminolta.jp/healthcare/

※1ガイドライン:日本医学放射線学会、日本放射線科専門医会・医会、日本診療放射線技師会 共同編集「放射線科医から診療放射線技師へのタスク・シフト/シェアのためのガイドライン集」の中の「生命予後にかかわる緊急性の高い疾患の画像(STAT画像)所見報告ガイドライン」
https://www.radiology.jp/content/files/RadTechTaskShiftShareGL_Ver03-1_20240412.pdf

※2AI技術のひとつであるディープラーニングを用いて設計し、市販後に自動的に本機能の性能や精度が変化することはありません。

※3感度:気胸が存在する画像を正しく陽性(気胸あり)と判定された割合。

※4特異度:気胸が存在しない画像を正しく陰性(気胸なし)と判定された割合。

※5画像処理ゲートウェイ「Senciafinder」や「friejoin」にインストールした場合、「STAT Link」は使用できません。

「CS-7」、「STAT Link」、「CXR Finding-i」、「RADInsight」、「Senciafinder」、「friejoin」、「FORXAI」はコニカミノルタ株式会社またはその関連会社の商標または登録商標です。
「CS-7」は、「画像診断ワークステーション CS-7 (承認番号:第22200BZX00834000号)」 の呼称です。
胸部X線画像診断支援ソフトウェア「CXR Finding-i 気胸検出タイプ」は、「画像診断支援ソフトウェア KDSS-PTX-AI(承認番号:第30800BZX00041000号)」の呼称です。
胸部X線画像診断支援ソフトウェア「CXR Finding-i」は、「画像診断支援ソフトウェア KDSS-CXR-AI-101(承認番号:第30300BZX00271000号)」の呼称です。

関連リンク

ニュースリリースに記載されている内容は、報道発表日現在の情報です。お客様がご覧いただいた時点で、情報が変更(生産・販売が終了している場合や、価格、仕様など)されている可能性がありますのであらかじめご了承下さい。