Bone Suppression Imaging
Bone Suppression Image technology is aiming to eliminate oversight.
A strong enthusiasm to save lives created this technology.
Introducting BS Processing
BS Processing for Pneumonia
BS Processing for Interstitial pneumonia
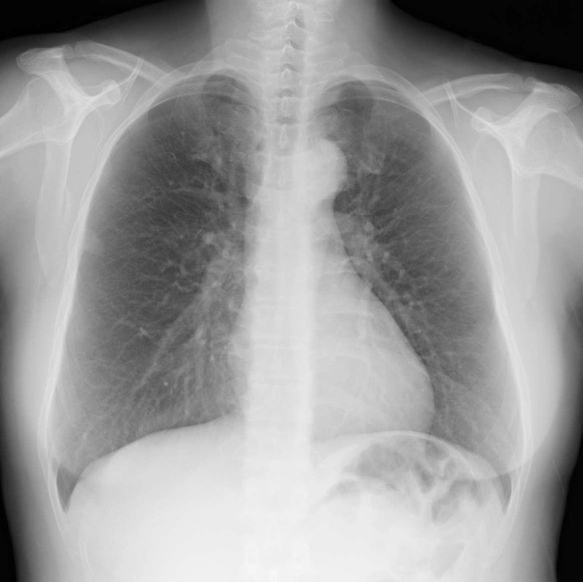
Bone Suppression Image processing technology uses advanced algorithms to attenuate the signals of the anterior ribs, posterior ribs, and clavicles of chest images, based on a proprietary chest X-ray image database.
By visualizing the "attenuated images of the clavicle / ribs", the visibility of lesions overlapping the bones in the lung fields is improved, and this strongly supports the diagnosis of chest.
Improve efficiency of interpretation on chest images
- Suppress the singal related to ribs and clavicles
- Provide a soft tissue-like image as below without any additional dose and equipment
- Support the prevention of overlooking diseases and improve productivity


Bone Suppression Image processing technology algorithms
Flow

Extraction of lung field

Bone recognition
Recognize bone using bone features.

Suppression of bone signals
Estimate bone signal components from recognized bone candidates and attenuate.

Customers' comments
- Apex of lung
"It is easy to find lesions that overlapped with the clavicle / ribs." - Lung marking
"Blood vessels and bronchi are easier to follow, and both diagnostic accuracy and efficiency have improved." - Lung field
"As you can overlook overview the entire lung field, it is easy to recognize the spread of diffuse pneumonia, etc. New lesions are also easy to find."

Ultrasound technology
*This site is intended for healthcare workers.