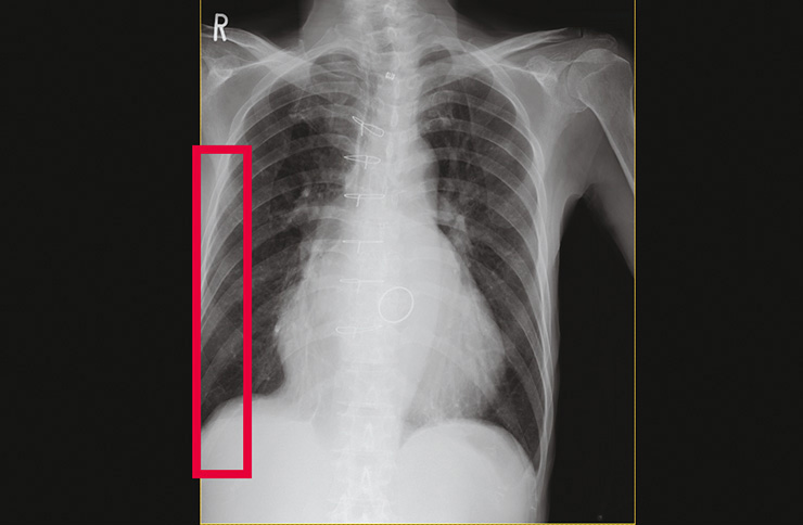
Images with lung field deficiency
This function takes advantage of the immediacy of DR to make decisions on re-photography more quickly and accurately.
*Option License is neccessary to use this function.
The CS-7 is equipped with a function that automatically detects potentially rejected images such as those with “lung field image deficiency” or “body movement” using image analysis immediately after shooting.
Detection process of images with lung field image deficiency and body movements

Images with lung field deficiency

Images with body movement
Ultrasound technology
*This site is intended for healthcare workers.